Ma boutique
Afterwork Chasles – L'IDR : Reconstruction Alvéolaire Innovante Mardi 17 Juin 2025 – Avec le Dr P. KHAYAT
Afterwork Chasles – L'IDR : Reconstruction Alvéolaire Innovante Mardi 17 Juin 2025 – Avec le Dr P. KHAYAT
Impossible de charger la disponibilité du service de retrait
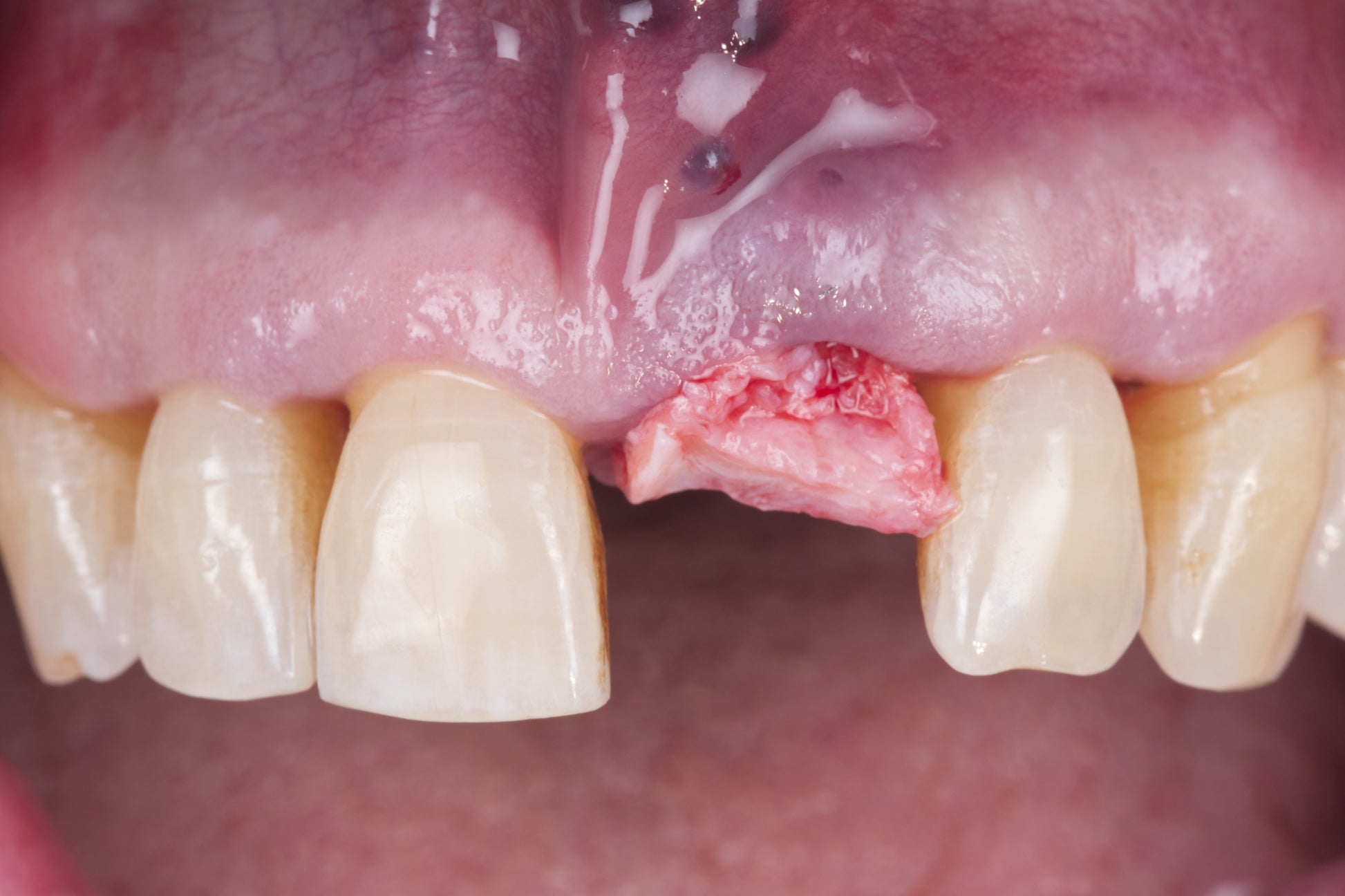
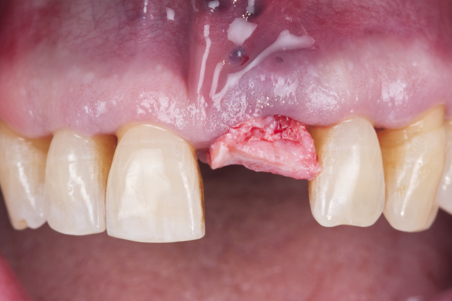
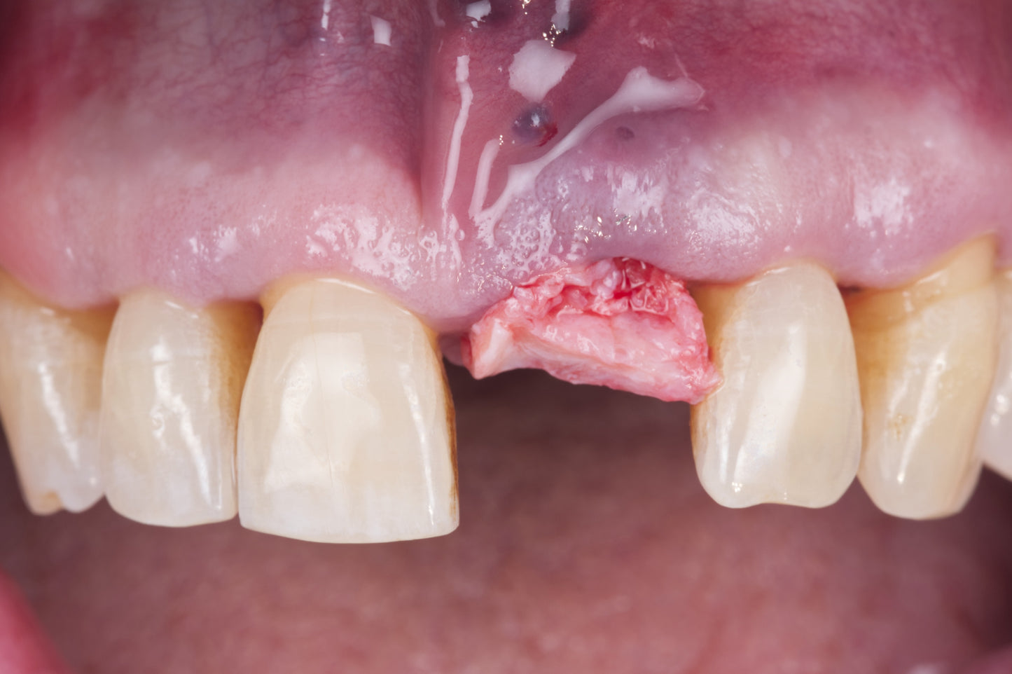
Le Dr Philippe Khayat vous dévoilera l’IDR, une technique révolutionnaire de reconstruction d’alvéole compromise, développée par le Dr Da Rosa au Brésil. Cette méthode innovante permet une implantation immédiate et offre une mise en esthétique instantanée à l’aide d’une couronne provisoire, même en présence d’un ou plusieurs manques de parois osseuses.
Les points forts de l’IDR :
- Intervention unique et rapide : Traitez des cas complexes en une seule séance, alors que les méthodes conventionnelles nécessitent plusieurs interventions.
- Optimisation du temps de traitement : Réduisez considérablement les délais pour vos patients tout en garantissant des résultats esthétiques et fonctionnels immédiats.
- Adaptation aux cas compliqués : Offrez une solution efficace pour les reconstructions d’alvéolaires compromises, alliant performance clinique et satisfaction du patient.
Au cours de cette soirée interactive, le Dr Khayat détaillera les protocoles de l’IDR, partagera des cas pratiques et expliquera comment cette approche peut transformer votre pratique en apportant un gain de temps et une amélioration significative des résultats cliniques. Rejoignez-nous pour découvrir comment cette technique peut révolutionner la prise en charge des patients en optimisant à la fois la qualité des soins et l’efficacité de votre intervention.
